Niềng răng là cả một quá trình dài tác động lên răng một cách từ từ để răng dịch chuyển về đúng vị trí như mong muốn. Chính vì vậy rất khó nhận ra nếu răng có dấu hiệu niềng hỏng. Vậy cách nhận biết niềng răng hỏng và khắc phục như thế nào? Cùng tìm hiểu kỹ nhé!

Mục lục
Nguyên tắc của quá trình niềng răng là bác sĩ sẽ tác động lực để tạo ra vùng nén và vùng căng giãn trong xương hàm. Vùng nén sẽ làm tiêu xương còn vùng căng sẽ tạo xương, cứ liên tục tác động như vậy, răng sẽ dần di chuyển một cách có kiểm soát. Như vậy bạn có thể thấy trong quá trình niềng răng, răng sẽ liên tục có dấu hiệu lung lay, điều này là hoàn toàn bình thường.
Tuy nhiên cũng vì răng luôn di chuyển, lung lay và quá trình đeo mắc cài trung bình 2 năm nên có những dấu hiệu niềng hỏng mà bạn không thể dễ dàng nhận ra được, đến khi tháo mắc cài thì đã muộn. Nếu bạn đang niềng răng, hãy quan sát kỹ các dấu hiệu dễ dàng nhận thấy dưới đây trên hàm răng của mình để có biện pháp xử lý kịp thời và đúng lúc nhất nhé!
➤Xem chi tiết: Mọi điều cần biết về niềng răng – chỉnh nha
Chân răng bị bật ra khỏi xương hàm, tiêu cụt chân răng
Thông thường vị trí của chân răng nằm ở trung tâm xương hàm. Đối với những ai có xương hàm mỏng, chân răng sẽ nằm lệch bên ngoài hoặc lệch bên trong, tuy nhiên dù nằm ở vị trí nào thì chân răng vẫn luôn chắc chắn. Thi thoảng sẽ có một vài trường hợp bị khuyết hổng xương bẩm sinh hoặc cửa sổ xương, điều này sẽ được nha sĩ báo trước cho bạn và phác đồ điều trị sẽ di chuyển răng chậm hơn và thận trọng hơn so với những người khác.

Việc chân răng bị bật ra khỏi xương hàm là do lực di chuyển răng quá lớn, cơ sinh học di chuyển răng không đúng dẫn tới tình trạng răng bị bật chóp hoặc cổ răng ra ngoài xương hàm. Nếu phát hiện sớm nha sĩ có thể thay đổi hướng torque để xoay chân răng trở lại, tuy nhiên nếu quá lâu không phát hiện kịp thời để tiêu vùng cổ răng thì không thể cứu vãn nổi.
Bạn có thể kiểm tra xem mình có gặp phải tình trạng này không bằng cách sờ chân răng tương ứng vùng chóp ngoài xương hàm, đôi khi có thể cảm nhận rõ được chân răng nằm lệch ở phía ngoài. Tuy nhiên với việc sờ cảm nhận chân răng sẽ không được chính xác vì chỗ lồi đó có thể là do bản xương bị gồ lên, những người không niềng răng cũng có thể bị như vậy, nên cách chính xác nhất để biết được tình trạng răng của mình đó là đi chụp conbeam CT.
Tiêu cụt chân răng là tình trạng chân răng bị thu ngắn chiều dài so với trước khi niềng răng, theo nghiên cứu chỉ có tầm 2% trường hợp bị tiêu chân răng sau niềng răng. Hiện nay vẫn chưa tìm hiểu rõ được nguyên nhân gây ra việc tiêu chân răng, tuy nhiên có thể do thời gian niềng răng lâu (hơn 3 – 4 năm) hoặc do cơ địa của từng người. Nếu chỉ bị tiêu chân răng nhẹ thì không lo bị ảnh hưởng tới sự bền vững của răng trên cung hàm sau này.
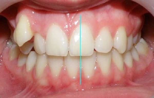
Bị lệch mặt, lệch nhân trung
Quá trình niềng răng dịch chuyển các răng phải giữ được đường giữa thẳng trục với trục của khuôn mặt, tức là đường giữa răng cửa trên trùng với đường giữa răng cửa dưới và phải trùng với nhân trung, đỉnh mũi và điểm glabella trên khuôn mặt thì mới đảm bảo sự cân đối. Đây là tiêu chí thẩm mỹ cực kỳ quan trọng sau khi kết thúc quá trình niềng răng.
Tuy nhiên với những bạn bị lệch mặt bẩm sinh, mũi bị lệch, xương hàm dưới có độ dài không giống nhau thì việc chỉnh nha sẽ không thể thay đổi được sự lệch mặt bẩm sinh đó. Trong trường hợp này bạn phải phẫu thuật thẩm mỹ mới thay đổi được, bởi vì chỉnh nha chỉ là quá trình di chuyển và sắp xếp lại răng trên cung hàm mà thôi.

➤Xem chi tiết: Nguyên nhân và cách xử lý lệch nhân trung sau khi niềng răng
Cười hở lợi nghiêm trọng, răng bị quặt
Nguyên nhân sau khi niềng răng bị cười hở lợi là do bác sĩ khi kéo hô, kéo khối răng trước lui về sau không kiểm soát được cơ sinh học di chuyển răng, làm cho hàm trên vừa di chuyển ra sau nhưng cũng vừa đi xuống dưới, dẫn tới khớp cắn sâu, răng bị quặt, cười hở lợi.
Để khắc phục tình trạng này bác sĩ sẽ để bạn tiếp tục đeo mắc cài và đánh lún toàn bộ khối xương hàm trên, hoặc đánh lún khối các răng trước bị quặt. Quan trọng nhất là bác sĩ điều trị phải kiểm soát tốt được lực kéo khi đóng khoảng, vì quá trình đánh lún sửa chữa sau điều trị rất mất thời gian, gần như bằng thời gian của một liệu trình niềng răng mới nếu như bạn định đi sửa chữa ở các cơ sở khác.
➤Xem thêm: Niềng răng chữa cười hở lợi có hiệu quả không?
Trong quá trình kéo khoảng, răng không di chuyển tịnh tiến mà lại bị nghiêng làm cho khớp nhai bị mất tính ổn định. Việc di chuyển răng tối ưu nhất là răng tịnh tiến trên cung hàm, thân răng sẽ tạo với chân răng một trục thẳng trùng với trục truyền lực nhai của 2 mặt phẳng nhai giữa hàm trên và hàm dưới. Quá trình này sau khi kết thúc sẽ giúp cho khớp cắn ổn định và thực hiện tốt nhất chức năng của mình.
Răng bị nghiêng có rất nhiều nguyên nhân, phổ biến nhất là do hiệu ứng cuộn, tức là khi nha sĩ sử dụng chun chuỗi đóng khoảng trên dây tròn, dây mền không đủ độ vững.
Quan sát kỹ trên miệng bạn có thể thấy các răng hơi nghiêng về khoảng trống chứ không phải toàn bộ chân răng tịnh tiến để lấp đầy khoảng trống. Tình trạng này có thể được khắc phục nếu bạn được dựng lại trục răng và đóng khoảng trống dựa trên hệ thống đặt lực khác. Đối với các trường hợp có các khe thưa trên răng, nếu việc chỉnh nha không đạt chuẩn, trong quá trình đóng khoảng răng bị nghiêng sẽ rất dễ tái phát sau khi tháo mắc cài.

Niềng răng hỏng do gắn sai mắc cài
Niềng răng là quá trình di chuyển răng bằng việc sử dụng lực đặt lên dây cung, mắc cài và các khí cụ hỗ trợ. Mắc cài là khí cụ cơ bản và quan trọng nhất trong việc điều trị niềng răng, nếu gắn mắc cài sai sẽ làm ảnh hưởng tới toàn bộ kế hoạch điều trị, di chuyển răng không theo kiểm soát.
Vị trí gắn mắc cài trên răng có rất nhiều, bác sĩ có thể gắn lệch về phía thân răng, giữa răng hoặc lệch về phía cổ, vì vậy để nhìn một bức ảnh mà đánh giá việc bác sĩ gắn sai hay không thì không hợp lý, vì thế quan trọng nhất là bác sĩ phải giải thích được cho khách hàng hiểu tại sao lại gắn vị trí mắc cài như vậy, hệ mắc cài sử dụng là hệ nào, sau khi kết thúc điều trị răng sẽ ở vị trí nào.
Việc gắn mắc cài cũng nên tiến hành một cách thật thận trọng, đo đạc chính xác, cách ly nước bọt tốt để tránh mất thời gian sửa chữa về sau. Các biến chứng của răng do gắn mắc cài thường được sửa chữa đơn giản hơn, chỉ cần gắn lại cho đúng và tác động lực nhẹ liên tục thì răng sẽ di chuyển đúng theo ý muốn ban đầu.
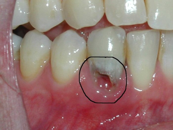
Bị tụt lợi sau quá trình niềng răng
Theo nghiên cứu dịch tễ cho thấy rằng ở Mỹ có khoảng 400.000 khách hàng sau khi niềng răng bị tụt lợi, tỷ lệ này chiếm khoảng 10% trong tổng số các ca niềng răng. Đôi khi việc tụt lợi là điều không thể tránh khỏi khi niềng, tuy nhiên sẽ được bác sĩ niềng răng dự đoán trước để thông báo cho khách hàng để họ có thể chuẩn bị sẵn sàng tâm ly để điều trị bổ sung sau niềng.
Việc trên răng có hệ thống khí cụ chằng chịt khiến cho vệ sinh răng miệng là thách thức lớn đối với những người niềng răng. Vì vậy tới mỗi kỳ tái khám, bác sĩ nên thường xuyên hỗ trợ khách hàng vệ sinh răng miệng bằng các khí cụ chuyên dụng để lấy cao răng, mảng bám. Chỉ cần quan tâm đúng tới sức khỏe mô lợi sẽ làm giảm thiểu việc tụt lợi, tiêu xương ổ răng sau khi tháo niềng. Tại Nha khoa Thúy Đức tới mỗi lần tái khám, khách hàng niềng răng đều sẽ được làm sạch răng miệng và tư vấn kỹ càng nhất về chế độ ăn cũng như cách vệ sinh sao cho chuẩn nhất.
Việc tụt lợi còn do di chuyển răng quá mức, đặc biệt là nghiêng răng cửa ra phía ngoài, làm răng bị trồi hoặc xoay răng. Để khắc phục tình trạng này, bạn sẽ phải chuyển sang bác sĩ nha chu, có thể sẽ phải ghép lợi, tái sinh mô hoặc kích hoạt mắc cài để xoay cổ chân răng vào phía trong, thuận lợi hơn cho quá trình điều trị.
Có nhiều trường hợp bị biến chứng nặng, vừa bị tụt lợi vừa bật chân răng ra khỏi xương hàm, lúc này bạn sẽ phải trồng răng mới, vì vậy phải hết sức thận trọng trong quá trình niềng răng.
Xem chi tiết : Nguyên nhân và cách xử lý niềng răng bị tụt lợi
Răng bị chết tủy do niềng răng, đau hàm
Có nhiều người sau khi niềng răng không thể khớp 2 hàm lại với nhau khiến cho việc ăn nhai trở nên khó khăn, thậm chí bị đau hàm, đau vai gáy, mỏi cơ khi nhai.
Chết tủy là khi bạn bị đau một vài chiếc răng, cơn đau này có thể bốc lên tận thái dương gây ra nhiều phiền toái trong cuộc sống
Với các bạn không thể khớp 2 hàm sau khi niềng răng hoặc có vấn đề về khớp thái dương hàm, bạn sẽ được gửi qua bác sĩ khớp cắn để lấy lại vị trí ổn định của cơ xương sau đó niềng răng lại theo tương quan mới này. Quá trình điều trị sẽ rất khó khăn và vô cùng mất thời gian.
Địa chỉ niềng răng uy tín tại Hà Nội
Niềng răng mất nhiều thời gian và công sức chính vì vậy để hạn chế việc niềng răng hỏng bạn cần tìm hiểu thật kỹ địa chỉ nha khoa uy tín trước khi bắt đầu quá trình niềng răng.
Nha khoa Thúy Đức là Nha khoa được thành lập từ lâu đời, có lịch sử 19 năm, đã điều trị thành công cho hơn 7000 ca niềng răng, nhận được sự tin tưởng của đông đảo khách hàng.
Thúy Đức là nha khoa đầu tiên của Đông Nam Á đầu tư 1.3 tỷ cho máy quét dấu răng iTero 5D Plus hiện đại nhất thế giới, cho kết quả niềng răng chỉ sau 60s. Bên cạnh đó là rất nhiều công nghệ máy móc đời mới nhất như máy làm trắng răng, máy rút tủy, máy chụp X-quang Panorama,…
Để các khách hàng có thời gian thư giãn thoải mái khi chờ đợi, Thúy Đức có đầy đủ sách truyện, cà phê, trà, nhạc, macbook cho khách hàng sử dụng. Nha khoa không ngừng nâng cấp cơ sở vật chất kỹ thuật để mang tới sự hài lòng tuyệt đối cho khách hàng.

Đội ngũ y, bác sĩ tại Nha khoa Thúy Đức đều là các bác sĩ có tay nghề, chuyên môn cao. Bác sĩ Phạm Hồng Đức là bác sĩ được cấp chứng chỉ AAO của Hiệp hội chỉnh nha Hoa Kỳ.
- Bác sĩ Đức được hãng Invisalign đánh giá là bác sĩ TOP 1 tại Đông Nam Á và TOP 1 về kinh nghiệm, chuyên môn tại Việt Nam
- Bác sĩ đầu tiên tại Châu Á đạt thứ hạng Red Diamond trên bản đồ Invisalign toàn cầu
- Bác sĩ có số lượng khách hàng niềng Invisalign nhiều nhất Việt Nam năm 2021
- Bác sĩ thuộc Hiệp hội chỉnh nha Hoa Kỳ AAO
- Bác sĩ thuộc Hiệp hội nắn chỉnh răng thế giới IAO, Hiệp hội chỉnh nha thế giới WFO
- Dịch giả của những cuốn sách chỉnh nha nổi tiếng như 1001 bí kíp lâm sàng trong chỉnh nha (2015), Các ca lâm sàng trong chỉnh nha (2015), Cơ sinh học trong chỉnh nha (2016),…
- Bác sĩ Đức đã có kinh nghiệm điều trị hơn 7000 ca chỉnh nha, được coi là một trong những bác sĩ có số lượng KH niềng răng lớn nhất Hà Nội.
- Là người đầu tiên đưa phương pháp Niềng không nhổ răng F.A.C.E từ nước ngoài về ứng dụng tại Việt Nam, giúp hạn chế tối đa việc nhổ răng thậm chí không cần nhổ răng mà vẫn mang lại hiệu quả điều trị cao nhất.
Bác sĩ Đức tốt nghiệp hệ Răng – Hàm – Mặt của trường đại học Y Hà Nội sau đó đi du học nước ngoài về chuyên ngành chỉnh nha. Trải qua quá trình học tập vất vả, nghiên cứu chuyên sâu, bác sĩ Đức đã tiếp thu và thành công đưa phương pháp F.A.C.E niềng không nhổ răng về Việt Nam và thay đổi sao cho phù hợp nhất với gương mặt của người châu Á. Theo đó phương pháp này hạn chế tối đa việc nhổ răng thậm chí không cần nhổ răng đối với các trường hợp răng bị hô, khấp khểnh nặng, mang lại hiệu quả niềng răng tốt nhất mà vẫn bảo tồn tối đa hàm răng thật của khách hàng.
Có thể nói bất cứ hình thức điều trị y khoa nào cũng đều sẽ có những lợi ích, ưu điểm, nhược điểm hoặc các biến chứng đi kèm, quan trọng là bạn phải nắm được thông tin theo nhiều chiều để có tâm lý đối mặt khi gặp phải những tình huống xấu xảy ra. Niềng răng là quá trình dài và có ảnh hưởng nhiều tới cuộc sống sau này, vì thế hãy chọn địa chỉ nha khoa uy tín và bác sĩ có tay nghề cao để đảm bảo kết quả cuối cùng an toàn và hiệu quả nhé!
————————————
NHA KHOA THÚY ĐỨC – Bác sĩ Phạm Hồng Đức
Hotline: 096 361 4566 – 093 186 3366
Địa chỉ: Số 64 phố Vọng, phường Bạch Mai, Hà Nội.
Giờ làm việc: 8h00 – 19h00 từ thứ 2 đến Chủ Nhật
Fanpage: https://www.facebook.com/nhakhoathuyduc/
Please Enter Your Facebook App ID. Required for FB Comments. Click here for FB Comments Settings page

